درمان بیماری های لثه به شدت و نوع بیماری بستگی دارد. در مراحل اولیه مثل ژنژیویت، درمان شامل جرم گیری حرفه ای توسط دندانپزشک و رعایت دقیق بهداشت دهان در منزل است. استفاده منظم از نخ دندان، مسواک نرم، دهانشویه های ضد باکتریایی و پرهیز از دخانیات پروسه بهبودی را تسریع می بخشد. در مراحل پیشرفته تر مثل پریودنتیت، ممکن است شخص به درمان های عمیق تری مثل جرمگیری زیر لثه، صاف کردن سطح ریشه ها، تجویز آنتی بیوتیک ها و در موارد شدیدتر به جراحی لثه برای بازسازی استخوان و پاکسازی بافت های عفونی نیاز داشته باشد. گاهی پیوند بافت لثه یا استخوان نیز صورت می گیرد تا بافت های از دست رفته بازسازی شوند. در این مطلب قصد داریم شما را با انواع بیماری لثه آشنا کنیم.
آشنایی با انواع بیماری لثه
شناخت انواع خفیف تا جدی پریودنتال یا بیماری های لثه باعث جلوگیری از این درد و کاهش آن می شود. در ادامه به بررسی این موضوع می پردازیم.

ژنژیویت
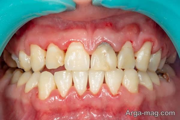
ژنژیویت یکی از خفیف ترین و شایع ترین بیماری های لثه است. معمولا این بیماری در اثر جمع شدن پلاک باکتریایی روی سطح دندان و لبه لثه ها ایجاد می شود. پلاک لایه ای چسبنده از باکتری هاست که به صورت مداوم روی دندان ها به وجود می آید. در صورتی که این پلاک به طور منظم با نخ دندان و مسواک تمیز نشود، باکتری ها باعث تحریک لثه و بروز التهاب می شوند. از نشانه های ژنژیویت می توان به تورم، قرمزی لثه، خونریزی زمان نخ کشیدن یا مسواک زدن، بوی بد دهان و حساسیت لثه اشاره کرد. در این مرحله، آسیب به بافت لثه قابل برگشت است و می توان با رعایت بهداشت دهان و دندان، جرم گیری و درمان به موقع لثه ها را به شکل طبیعی باز گرداند. در صورت عدم درمان به موقع ژنژیویت، این نوع بیماری لثه به پریودنتیت تبدیل می شود.
پریودنتیت
پریودنتیت مرحله پیشرفته تری از بیماری لثه است که در آن التهاب از لثه فراتر رفته و به بافت های نگهدارنده دندان همانند استخوان فک و رباط پریودنتال کشیده می شود. در این حالت، پلاک ها با گذشت زمان سفت شده و تبدیل به جرم می شوند. این جرم ها زیر خط لثه جمع می شوند و برای رشد باکتری ها محیط مناسبی را فراهم می کنند.

سیستم ایمنی بدن برای مقابله با این باکتری ها واکنش التهابی شدیدی را نشان می دهد که در نتیجه آن، بافت های اطراف دندان سریع تخریب می شوند. در مراحل پیشرفته، استخوان نگهدارنده دندان تحلیل شده و در نهایت دندان لق می شود و می افتد. پریودنتیت خود انواع مختلفی دارد. برخی از انواع آن عبارتند از:
- پریودنتیت مزمن: این نوع پریودنتیت شایع ترین نوع بیماری لثه به شمار می آید. می توان گفت به آهستگی پیشرفت می کند و معمولا در افراد بزرگسال مشاهده می شود. نشانه های آن شامل تحلیل لثه، خونریزی لثه، بوی بد دهان و فاصله افتادن بین دندان ها و شل شدن آن ها است.
- پریودنتیت تهاجمی: نوع دیگر پریودنتیت، پریودنتیت تهاجمی است که در افراد جوان تر و کسانی که سیستم ایمنی قوی تری دارند بیشتر دیده می شود. این نوع از بیماری سریع پیشرفت می کند و سبب از دست رفتن سریع استخوان فک و بافت نگهدارنده دندان ها می شود. دلیل آن هنوز مشخص نیست اما عوامل ژنتیکی نقش مهمی در بروز آن دارند.
- پریودنتیت نکروزان: بیماری نکروزان نوعی از بیماری های شدید لثه است که در اثر عفونت باکتریایی حاد و معمولا در افراد با ضعف سیستم ایمنی مثل مبتلایان به ایدز، سوء تغذیه یا استرس های شدید ایجاد می شود. در این نوع از بیماری، بافت لثه دچار مرگ سلولی شده و بوی بسیار بدی از دهان خارج می شود. لثه ها بسیار زخم دار و دردناک می شوند و معمولا همراه با بی حالی و تب است.

هیپرپلازی لثه
از انواع بیماری لثه می توان به هیپرپلازی لثه اشاره کرد. در این بیماری، بافت لثه بیش از حد رشد می کند و موجب افزایش حجم یا ضخامت لثه ها می شود. این شرایط ممکن است در اثر مصرف برخی از داروها مثل داروهای ضد صرع (قرص فنیتوئین)، داروهای فشار خون (مثل داروی نیفدیپین) و داروهای سرکوب کننده سیستم ایمنی (مثل سیکلوسپورین) ایجاد شود و در برخی موارد زمینه ژنتیکی دارد. در این حالت لثه ها به تدریج بافت اضافی تولید می کنند که می تواند روی دندان ها را به خوبی بپوشاند. همچنین باعث جمع شدن پلاک و ایجاد التهاب ثانویه می شود. درمان شامل قطع یا جایگزینی داروی عامل و در موارد شدیدتر، جراحی به منظور برداشت بافت اضافی است.
آبسه لثه یا آبسه پریودنتال
معمولا این عارضه زمانی اتفاق می افتد که عفونت باکتریایی در عمق لثه یا اطراف ریشه دندان جمع می شود. این عفونت موجب تشکیل کیسه ای پر از چرک می شود که می تواند بسیار دردناک باشد. ممکن است آبسه لثه به دنبال پریودنتیت درمان نشده، گیر کردن ذرات غذا در پاکت های لثه یا ترمیم های دندانی ناقص به وجود بیاید. علائم این بیماری شامل درد شدید، قرمزی، حساسیت، تورم موضعی و گاهی تب می شود. درمان آن به صورت تخلیه چرک، جرم گیری و مصرف آنتی بیوتیک بوده و در برخی موارد درمان ریشه یا جراحی بهترین گزینه است.

تحلیل لثه یا عقب رفتگی لثه
یکی دیگر از بیماری های نسبتا شایع، عقب رفتگی لثه یا تحلیل لثه است. در این بیماری، بافت لثه ای که دندان را می پوشاند به سمت بالا یا پایین حرکت می کند و قسمت بیشتری از سطح ریشه دندان نمایان می شود. موضوع ذکر شده به موقعیت فک نیز بستگی دارد. این حالت می تواند به علت زنتیک، مسواک زدن غلط، استفاده از سیگار، فشار ناشی از دندان قروچه یا ارتودنسی ایجاد شود. تحلیل لثه علاوه بر ظاهر ناخوشایند، موجب حساسیت دندانی و افزایش خطر پوسیدگی ریشه می شود. درمان شامل اصلاح روش مسواک زدن، کنترل عوامل زمینه ای و در موارد شدیدتر، پیوند بافت لثه برای بازسازی نواحی از بین رفته است.
موکوزیت پری ایمپلنت
این بیماری در اطراف ایمپلنت های دندانی رخ می دهد و شبیه به ژنژیویت در اطراف دندان های طبیعی است. در این حالت، بافت نرم اطراف ایمپلنت ملتهب می شود اما استخوان فک کاملا درگیر نشده است. عامل اصلی آن جمع شدن پلاک باکتریایی در اطراف ایمپلنت است. اگر در این مرحله درمان انجام نشود، بیماری پیشرفت کرده و به پری ایمپلنت تبدیل می شود که مشابه پریودنتیت است و با تحلیل استخوان اطراف ایمپلنت همراه است. درمان شامل پاکسازی تخصصی اطراف ایمپلنت و رعایت دقیق و اصولی بهداشت دهان است. پری ایمپلنت از دیگر بیماری های مهم مرتبط با لثه است که تنها در افراد دارای ایمپلنت دندانی مشاهده می شود. این بیماری با التهاب، تخریب بافت نرم و تحلیل استخوان اطراف ایمپلنت همراه است. معمولا در اثر رعایت نکردن بهداشت، استفاده غلط از ایمپلنت، سیگار یا بار زیاد مکانیکی روی ایمپلنت رخ می دهد. درمان بسته به شدت بیماری شامل تمیز کاری عمیق، استفاده از لیزر، آنتی بیوتیک و در موارد شدیدتر جراحی بازسازی استخوان است.

لیکن پلان دهانی
از دیگر انواع بیماری های لثه می توان به بیماری های خود ایمنی همچون لیکن پلان دهانی اشاره کرد. در این بیماری، سیستم ایمنی بدن به اشتباه به بافت دهان حمله می کند و باعث التهاب مزمن لثه، زخم های قرمز یا سفید، درد و گاهی خونریزی می شود. علت دقیق آن مشخص نیست اما عوامل مهمی نظیر ژنتیک، استرس و مصرف برخی از داروها در بروز این بیماری نقش مهمی دارند. معمولا درمان آن با داروهای ضد التهاب موضعی و کنترل وضعیت دهان انجام می شود.
لوپوس اریتماتوز دهانی
این نوع التهاب می تواند باعث قرمزی، التهاب لثه، زخم های سطحی و تخریب بافت لثه شود که بخشی از بیماری لوپوس سیستمیک است و فرد به درمان دارویی تحت نظر متخصص نیاز دارد.